03 апреля 2024 в 20:24

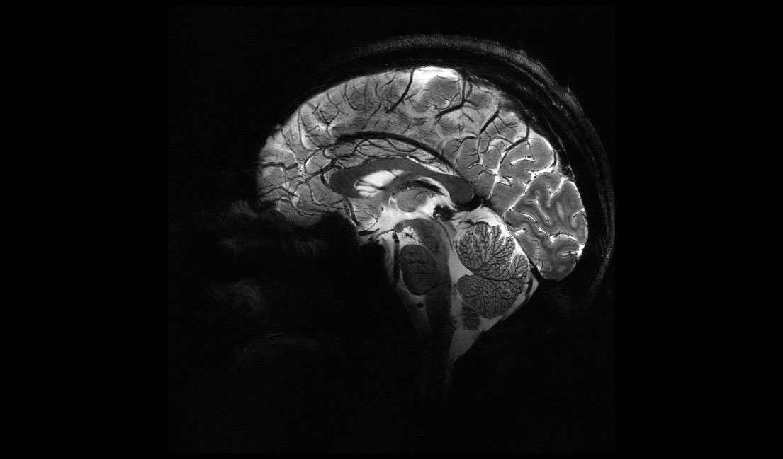
Получены самые четкие МРТ-изображения мозга за всю историю

Фото: cea.fr
Подписывайтесь на нас в MAX

Ученые из Французской комиссии по альтернативной энергетике и атомной энергии (CEA) представили серию изображений человеческого мозга, полученных с помощью аппарата Iseult MRI, говорится на сайте организации. Сила магнитного поля оказалась значительно больше, чем у обычных установок. Новый аппарат поможет изучить тяжелые заболевания.

Сила магнитного поля нового аппарата равняется 11,7 тесла. Мощность МРТ в обычных больницах составляет 1,5–3 тесла. Iseult MRI позволяет делать изображения в очень высоком разрешении — до 0,2 мм по горизонтали при толщине среза 1 мм. Это равняется объему, сравнимому с несколькими тысячами нейронов.

Ранее врач-рентгенолог Дмитрий Деменок посоветовал девушкам проходить магнитно-резонансную томографию молочных желез, чтобы вовремя выявить рак груди. Специалист подчеркнул, что это исследование особенно актуально для пациенток до 30 лет, у которых есть генетическая предрасположенность к заболеванию.

Также ортопед Максим Саутин назвал обязательную при хронических болях в спине процедуру. По его словам, нужно сразу делать МРТ позвоночника. Медик подчеркнул, что исследование направлено на выявление межпозвоночных грыж, вызывающих «прострелы» и в спине, и в нижних конечностях.